edad

especiales

Estudio en ratones muestra diferencias sustanciales entre jóvenes y ancianos. Posibilidad de terapias diferenciadas.

15 Enero 2026 0

Las personas con derecho a más de una pensión de Seguridad Social recibirán el incremento sobre la cuantía de la pensión unificada. Foto: Archivo de Granma

7 Agosto 2025 0

Con imágenes del ojo externo también se puede hacer un chequeo de salud. Foto: ANSA

5 Diciembre 2024 0

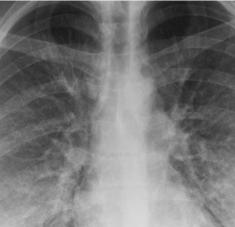
La edad aparente basada en la radiografía de tórax puede reflejar con precisión las condiciones de salud más allá de la edad cronológica (The New York Times).

23 Agosto 2023 0
Suscribirse a edad